Dental Implants
What Exactly Is a Dental Implant?
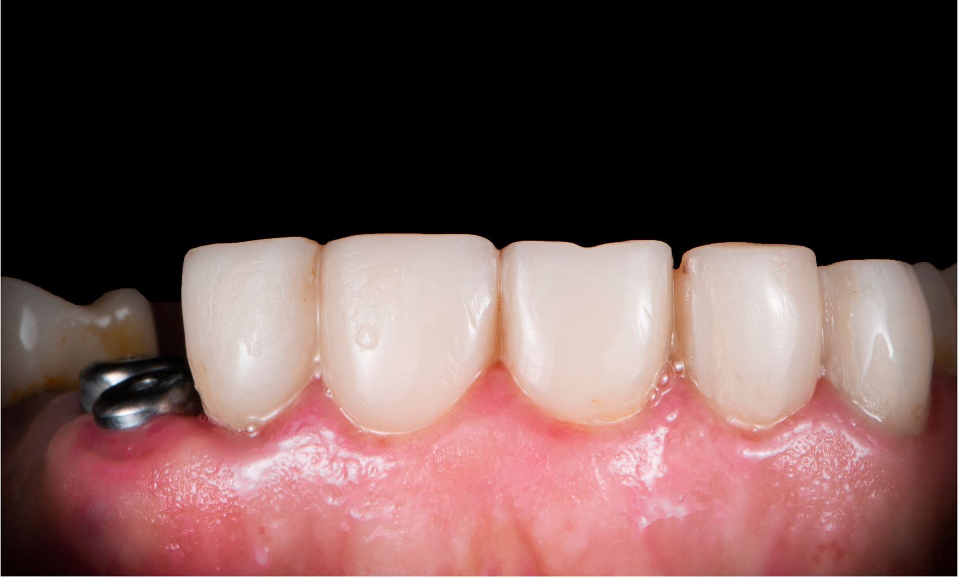
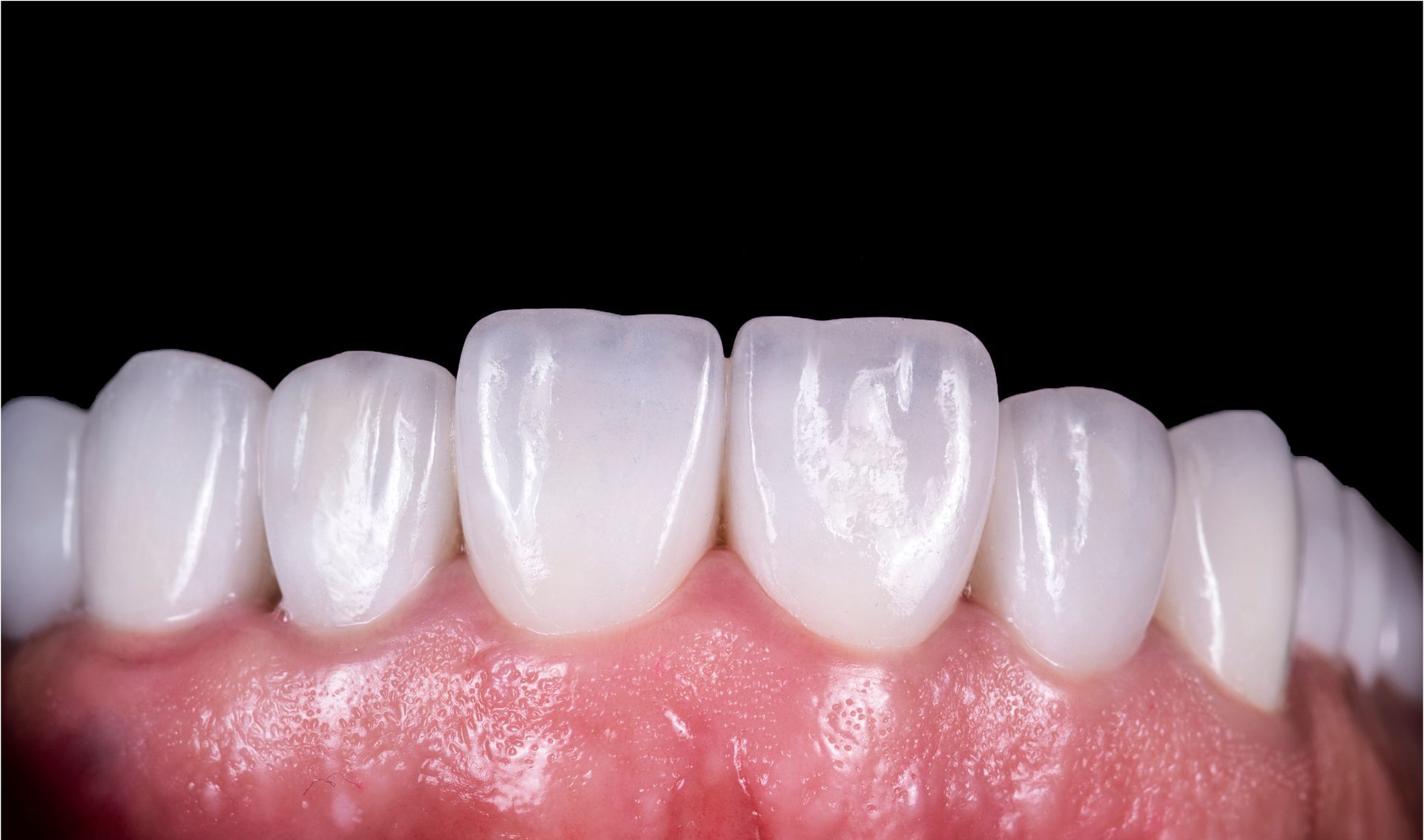
The dental implant itself is a small metal post, usually made of titanium. In order to restore your missing tooth, an oral surgeon will place the implant deep in your gums where your tooth’s roots used to be. As your jaw heals, your bone will actually start to grow around the implant, which ensures the implant will be stable.
Once you have completely healed from the implant procedure, Dr. Mahajan will attach a custom-made crown to the top of your implant. This crown becomes your new tooth, and we can match its color, shape and size to your natural teeth so your smile will look natural.
Your new tooth will look, feel, and work just like your natural teeth. When your smile is fully restored, you can continue to eat the foods you love and smile with confidence.
Who Can Get Dental Implants?
When you visit Wonderful Smiles office, Dr. Mahajan will thoroughly examine your teeth and jaws to ensure you are a good candidate for dental implants.
In order to make sure your implant surgery is successful, you may need to get treatment for oral health conditions such as:
- Gum disease (periodontitis or gingivitis)
- Insufficient bone mass in your jaw
Our expert team will let you know after your examination if you may need treatment prior to receiving your dental implant.
Types of Dental Implants
We offer several different types of tooth restoration depending on the type of dental implant(s) you require..
- Single Dental Implants
We can replace one missing tooth with a handcrafted crown designed to match your smile.
- Implant Bridges
We can replace two or more teeth in a row by attaching a custom-made bridge to your dental implants.
- Fixed (Implant-Supported) Dentures
We can attach our high-quality fixed dentures to your All-on-X implants to replace an entire arch of missing teeth.










